
An impacted tooth is one which has been prevented from erupting into the mouth. The tooth may be blocked by another tooth, dense bone or a pathological condition. The most commonly impacted teeth are third molars or "wisdom teeth" as people call them.
1. Gum Infection: Deep soft tissue pockets surrounding the impacted wisdom tooth present an ideal collecting site for food debris and bacteria, which can cause mild to severe infection of the gum from time to time.
2. Crowding : Pressure from wisdom teeth also contribute to crowding of the front teeth. This is why some orthodontists do not consider orthodontic treatment complete until third molars have been removed.
3. Decay: Tooth decay easily occurs on wisdom teeth since they are hard to reach for proper cleaning. This may be followed by toothache and abscess.
4. Damage To Other Teeth: Impacted teeth often grow forward and push against the adjacent second molar. This can result in root absorption of the second molar.
5. Pathology: All teeth develop in a sac called a tooth follicle, which disappears after the tooth erupts normally. If the tooth is impacted, the sac can fill with fluid and enlarge to form a cyst. The cyst, in turn, can cause destruction of surrounding bone and/or teeth.
Simple extractions cost $203 while the fee for the most complicated impacted wisdom tooth removal is $634.
Every operation carries some degree of risk. This risk can be minimized by careful preparative assessment of your physical condition and careful preparation of instruments. The most commonly encountered complications are discussed below.
1. Swelling: Mild to moderate swelling after surgery is normal. It should subside 2 days after surgery.
2. Bleeding: The active bleeding should have stopped by the time you leave the office. You may have a little oozing from the surgical site on the day of the surgery. This usually stops by the following morning.
3. Bruising: Some people may experience bruising after surgery. It usually occurs on the side of the face after removing upper wisdom teeth. This will heal gradually within 2 weeks and should not alarm you.
4. Stiffness: Stiffness of the jaw could also happen after wisdom teeth surgery. This is either due to muscle fatigue after opening your mouth for a long period or due to mild inflammatory processes at the local anaesthetic injection site.
5. Fractured Roots: On removing any tooth, a portion of its root may fracture off. The surgeon will make a decision as to whether it will be necessary to remove it. In some circumstances it may be prudent to leave it. The body will usually heal over it and it seldom causes a problem.
6. Nerve Damage: The roots of lower impacted teeth often rest on and around the main nerve of the lower jaw, which provides feeling in the lower lip and chin. Very rarely, in spite of all precautions taken, this nerve could be bruised or cut during the removal of lower third molars. The result will be numbness of the lower lip, chin, gum tissue, tongue and teeth on the involved side. This usually heals by itself within a few weeks in most cases. Occasionally, the numbness may last as long as several months. In very rare cases, about 0.1-0.5% of all wisdom tooth extractions, permanent numbness can occur. After more than 6,000 wisdom teeth extractions during Dr. Ren’s 26 years practice, he had no more than 6 patients experienced temporary numbness.
7. Damage to Adjacent Teeth, Fillings or Crowns: Occasionally, large fillings or a crown of an adjacent tooth may be loosened, cracked or dislodged during the removal of the wisdom teeth, in spite of diligent care and skill used. The root of an adjacent tooth may also be damaged or fractured. This happens very infrequently and is not always predictable in advance.
8. Dry Socket: A condition known as "dry socket" occurs in approximately 5-10% of patients. It is more common in smokers and female patients taking oral contraceptives. Dry socket is a dull throbbing pain, which starts within three to five days after the operation, accompanied by a bad taste and odor in the mouth. It is treated by cleaning and packing the area with medication that will relieve the pain. Healing is slightly slower than normal and a depression or hole may exist where things will get caught. If this occurs, you will be given a special irrigating syringe to use on a daily basis to keep this area clean until the hole fills in.
The best time to remove wisdom teeth is between 18-25 years old. At this stage the roots are usually not fully formed and the surrounding bone is less dense. Therefore, the procedure is easier to perform, the healing is faster and fewer complications will develop.
Simple extractions cost $203 while the fee for the most complicated impacted wisdom tooth removal is $634.

As with most dental procedures, the actual cost of Invisalign treatment varies depending on the complexity of each individual case. The fees we charge at Summerville Dental range from $3500 to $8000, which is about the same level we charge for regular braces. We do not charge extra fees for Invisalign patients even though the laboratory expenses to have the aligners made by Aligntech runs between $700 to $2400 Canadian dollars.
The answer is no. As a matter of fact, Invisalign patients usually take about 2-6 month less to finish their treatment than regular braces users.
As the name implies, Invisalign aligners are just about invisible. They are easy and comfortable to wear. Furthermore, there are no diet restrictions or changes to your dental hygiene routine. In most cases, the treatment period is shorter.
Invisalign aligners must be worn for 20-22 hours every day. The patient's compliance to this schedule is necessary for the treatment to be effective. This could be a concern for some patients - especially teenagers.
1. Gum problems--- Gum swelling and/or bleeding can occur during orthodontic treatment if oral hygiene is neglected. Continual poor oral hygiene may lead to early termination of treatment to prevent the development of gum disease.
2. Decalcification--- Tooth decay and permanent markings on the teeth can occur during orthodontic treatment if oral hygiene is neglected. This is mainly caused by foods containing excessive sugar and/or not brushing teeth frequently and properly.
3. Root resorption--- In a minority of patients, the tips of the roots of the teeth may be blunted or shortened during treatment. Shortened roots are generally of no disadvantage, unless gum disease develops in later life.
4. Devitalization--- In very rare instances, the tooth might become non-vital and require additional dental treatment. such as endodontic and/or veneers or crowns.
The vast majority of patients are eligible, even in severe cases requiring the extraction of multiple teeth.
Yes, as long as your insurance covers traditional braces.
Teeth always re-bounce towards their original position after orthodontic treatment. This can be prevented by wearing retainers. Retainers needs to be worn indefinitely for all cases.
Soak the aligner/retainer for 30 minutes in one of the following products: hydrogen peroxide, polident or white vinegar. Rinse the aligner/retainer with water before using them again. Aligners and retainers should be cleaned every day.
For patients who wear their retainers every night, it is recommended to replace them every 6 months. For those who wear their retainers every other night, replace them every 9 months.

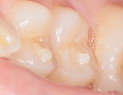
They are small , hard, round bumps occasionally found on the bite surfaces of a tooth, as shown on the lower left side photo. Severe toothache and root canal treatment may be necessary when the bumps are broken by normal chewing activity. The best solution to this problem is early detection around 10-12 years of age and early intervention by adding protective tooth-colored filling material around them.
The gum tissue is opened, precise holes are drilled into the jaw bone and implants are placed. Sometimes, a CBCT scan is required before treatment. Some implants require second stage surgeries to uncover the implant. Overlying tissues are opened at an appropriate time and, if it is stable, an attachment is connected to the implant. After the soft tissue has healed, a crown will be placed on the implant.
The healing phase typically lasts between 2-6 months (or more when bone grafts or sinus elevation grafts are concerned). Touch and pressure on the implant region should be minimized during the healing phase. Dentures or partial dentures that place pressure on the implant should be avoided for 1-2 weeks following surgery (or more) unless instructed otherwise.
A small number of patients do not respond successfully to implant placement. In such cases, implants may have to be removed and replaced. Because each patient's conditions are unique, including medical conditions and healing potentials, long-term success cannot be guaranteed. Complications include, but are not limited to:
-Post-surgical infection, bleeding, swelling, pain and facial discoloration
-Cracking or bruising of the corners of the mouth
-Transient but rarely permanent numbness of the jaw, lip, tongue, teeth, chin or gum. This can be due to proximity of nerves to the surgical site, though this risk is low with careful surgery, planning and assessment of the site anatomy.
-Restricted ability to open the mouth for several days.
-Jaw joint injuries or associated muscle spasm.
-Transient but rarely permanent increased tooth looseness.
-Inflammation or infection of the sinuses (where grafts or implants to the upper jaw are concerned).
-Tooth sensitivity to hot, cold, sweet or acidic foods.
-Shrinkage of the gum upon healing resulting in elongation of some teeth and greater spaces between some teeth.
-Restricted ability to open the mouth for several days.
-Impact on speech.
-Allergic reactions.
-Accidental swallowing of foreign matter.
The exact duration of any complications cannot be determined and may be irreversible. There is no method that will accurately predict or evaluate how the gum and bone will heal.
1. No treatment.
2. Removable appliances, including full and partial dentures.
3. Fixed dental bridges.
1. Continue to see your regular dentist and hygienist.
2. Implants, natural teeth and appliances must be maintained daily in clean and hygienic manner.
3. Implants and appliances should be examined by your dentist periodically (approximately every 6 months).
4. Smoking and alcohol intake may adversely affect gum healing and limit the successful outcome of implant surgery.

Seek medical attention if you notice the following effects after Botox treatment:
1. Difficulty swallowing (dysphagia).
2. Difficulty speaking (dysphonia).
3. Difficulty breathing (dyspnea).
4. Weakness.
These effects may occur as early as one day and as late as several weeks after treatment.
You will begin noticing an effect 2-3 days after treatment. Maximal effect occurs around 2 weeks after treatment.
The results will last 3-4 months.